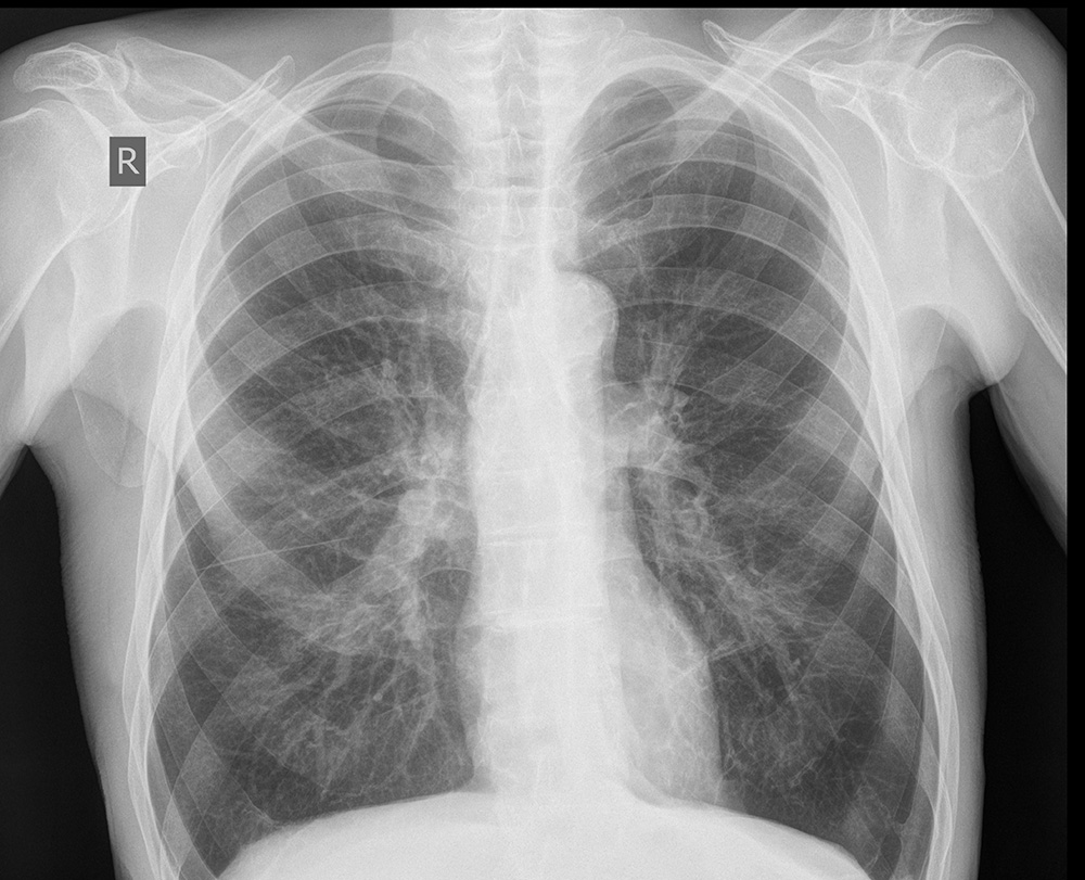
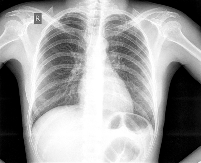
На обзорной рентгенограмме органов грудной клетки в прямой проекции – грудная клетка обычной формы. Легочные поля прозрачные, легочной рисунок не усилен. Корни легких не расширены, структурные. Синусы свободные, Купола диафрагм ровные. Рёберные промежутки не расширены, расположение ребер обычное, слева имеется перелом 5-го ребра по подмышечной линии без смещения. Тень сердца обычной формы, в поперечнике не расширено, аорта не широкая, уплотненная в области дуги - краевой кальциноз.
На Р-грамме левого плечевого сустава в 2-х проекциях - межсуставная щель несколько расширена, головка плечевой кости с ровными контурами, смещена несколько кнаруже, имеется перелом в области шейки плечевой кости со смещением костных отломков.



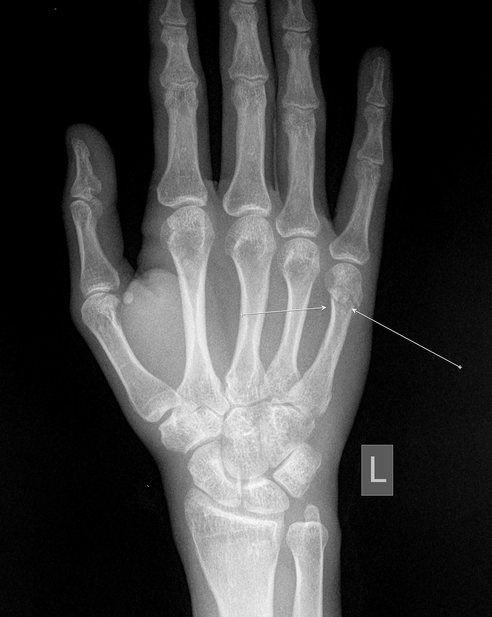
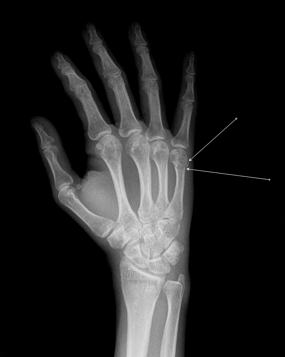
На рентгенограмме левой кисти в 2-х проекциях - околосуставной остеопороз с участками кистозной перестройки, в области дистального метафиза 5-ой пястной кости имеется не полностью сопоставленный, слабо консолидированный перелом, лучезапястный сустав - межсуставная щель сохранена, суставные поверхности с ровными контурами, умеренный субхондральный остеосклероз.


1. ОГК без патологии

2. На рентгенограмме обеих кистей в прямых проекциях - околосуставной остеоспороз, межсуставные щели местами сужены, костные кисты, поверхностные эрозии, краевые заострения, остеофиты.
На Р-грамме дистальных отделов стоп в прямой проекции - межсуставные щели не сужены, в области плюстне-фаланговых суставов 1-х пальцев суставные поверхности уплощены, субхондральный остеосклероз, краевые заострения, мелкие остеофиты.
3. Правосторонний сколиоз поясничного отдела позвоночника, сакрализация тела L-5 позвонка

4. Рентгенография локтевого сустава- без патологии
5. Рентгенография кисти- в области метафиза 5-ой пястной кости имеется перелом со смещением костных отломков
6. Рентгенография органов грудной клетки-2-х сторонняя пневмония
7. Рентгенография костей таза- без патологии

8. Рентгенография органов грудной клетки- гидропневмоторакс ! слева, подкожная эмфизема
9. Рентгенография шейного отдела- в области остистого отростка тела С -1 - аномалия Киммерле, деструтивных изменений не выявлено.
10. Рентгенография обеих стоп-контуры пяточных костей четкие, ровные, по подошвенным поверхностям с обеих сторон - мелкие остеофиты, больше справа, деструктивных изменений не выявлено.

11. На рентгенограмме правого голеностопного сустава в 2х проекциях -консолидированный перелом в области латеральной лодыжки. 
12. На рентгенограмме левого локтевого сустава в 2-х проекциях - имеется деформация сустава, межсуставная щель четки не прослеживается, костная структура головки локтевой кости и внутреннего мыщелка плечевой кости без четких контуров, костная структура деструктивно изменена с участками костного лизиса, секвестрами, по наружному контуру локтевой кости - периостальные наслоения, в проекции сустава - тень дренажной трубки.
13. Рентгенография лучезапястного сустава-в с\3 костей предплечья имеется сопоставленный, фиксированный металлическими штифтами и проволокой слабо консолидированные переломы, лучезапястный сустав - околосуставной остеопороз с участками кистозной перестройки и участкам истончения коркового слоя, межсуставная щель несколько сужена, деструктивных изменений не выявлено.

14. Рентгенография тазобедренных суставов -В межвертельной области бедренной кости определяется перестройка костной структуры, с четкими склеротическими контурами, медиальный контур коркового слоя истончен, но сохранен. Киста имеет овальную форму, размерами 40 на 25 мм.
15. На рентгенограмме черепа в прямой и боковой проекции – сосудистый рисунок не усилен, пальцевидные вдавления неотчетливые, спинка турецкого седла и костное ложе дна не изменены, сагиттальные и вертикальные параметры в пределах нормы. Кости свода черепа прослеживаются справа в области лобной кости участки не однородного гиперостоза с участками кистозной перестройки -пробойники? с не четкими контурами, Прозрачность придаточных пазух носа, пазухи основной кости и пневматизация ячеек сосцевидных отростков сохранена.





















